For the life of the flesh is in the blood! Leviticus 17:11
Essential Living Products & Services LLC

Red blood cells analysis (RBCs) comprise the greatest majority of the formed elements in the blood (4 to 6 million RBCs per microliter (cubic millimeter of blood). RBCs are formed in the red bone marrow and are stored in the body’s reservoir for the blood, namely the spleen. In adults, 2- 3 million new RBCs are produced per second and released into the abundant capillaries of the bone marrow.
The RBCs are responsible for the transport of oxygen from the lungs to the cells and the transport of carbon dioxide from the cells to the lungs, where it is expelled. RBCs are capable of transporting oxygen, carbon dioxide and other gasses because of an iron-containing pigment within the cells called hemoglobin.
The RBC membrane is composed of approximately 50% protein, 40% lipids and 10% carbohydrates. Its morphological structure consists of two layers of phospholipids, arranged in such a way that the polar surfaces face the inside and the outside of the cell, while the non- polar groups are directed to the center of the membrane.
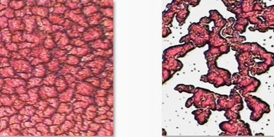
A full dark field evaluation, based on pleomorphism, requires that the sample is analyzed within the precise timeframe. In the dark field analysis the sample is examined with detail precision for any anomalies that may be present.
The integrity of the biological terrain is most often compromised by poor lifestyle and dietary choices, such as: excessive stress, poor diet, too little sleep, certain drugs, alcohol, smoking, chemicals and toxins in the air, food, water and environment. Prolonged exposure to these factors can create deficiencies and excesses that will result in a compromised biological terrain that no longer supports health. This is the point when a variety of symptoms may begin, such as headaches, recurring infections, skin problems, etc., depending on our individual susceptibility, types of toxins and deficiencies.
Health is greatly influenced by the degree of alkalinity or acidity of the body’s tissues and fluids. The pH of the various fluids and tissues of the body is very carefully maintained by a number of so-called buffer systems, because even a minor deviation from the normal pH range can spell disaster for the system.

The layered dried blood analysis or (OST) is in essence an evaluation of coagulation morphology. In the presence of degeneration, toxins and other imbalances, the dried blood sample shows white areas, called polymerized protein puddles (PPPs) and other abnormalities that can be indicative of certain systemic conditions.
Fibronectin present in the serum binds to fragments of the extracellular matrix resulting from enzymatic degradation. The presence of these aggregates in a specimen of clotting blood will undoubtedly modify the appearance of the final clot. As the amounts and proportions of the degradation of fragments, the extracellular matrix produced by each weakness vary, differences in the appearance of the clotted blood are seen.
The extracellular matrix can be seen as the glue that holds all the cells together. It is a gelatinous structure, composed of proteins and polysaccharides including: collagen, hyaluronic acid, proteoglycans, fibronectin, laminin, glycosaminoglycans and elastin.
Pleomorphic microorganisms in the live blood analysis is represent by endogenous and exogenous pathogenic microorganisms indicative of either a-pathogenic, congestive, deposition and dysregulated terrain with tissue acidosis, anaerobiosis, and dysregulated redox.
Redox dysregulation refers to an imbalance in the cellular redox state, disrupting the delicate balance between oxidation and reduction reactions. This imbalance leads to oxidative stress, where reactive oxygen species (ROS) and reactive nitrogen species (RNS) accumulate, damaging cells. Reactive oxygen species (ROS) and reactive nitrogen species (RNS) are both groups of highly reactive molecules involved in various biological processes.
The body naturally detoxifies itself through the liver, kidneys, digestive system, lungs, and skin. These organs work together to filter blood, excrete waste, and eliminate toxins through urine, feces, sweat, and breath. While some advocate for specific "detox" diets, the body's natural detoxification processes are generally sufficient, and a balanced diet is more beneficial.
While some people choose to follow specific detox diets, it's important to remember that the body has its own natural detoxification mechanisms. A healthy lifestyle that includes a balanced diet, regular exercise, and adequate hydration is the best way to support your body's natural detoxification processes.
Homeostasis refers to the body's ability to maintain a stable internal environment despite external changes, while metabolism encompasses all the chemical processes involved in sustaining life. Metabolic homeostasis specifically relates to maintaining a stable state of metabolic processes, including energy balance, nutrient levels, and overall cellular function.
Metabolic homeostasis ensures that cells are fully functional and able to carry out their specialized roles, including energy production, nutrient utilization, and building/repairing body tissues. The body maintains homeostasis by regulating internal conditions like temperature, blood sugar, pH, and fluid levels.
Copyright © 2024 Essential Living Products & Services LLC - All Rights Reserved. 941-822-7181 lba@essentialliving.health www.essentialliving.health
We use cookies to analyze website traffic and optimize your website experience. By accepting our use of cookies, your data will be aggregated with all other user data.